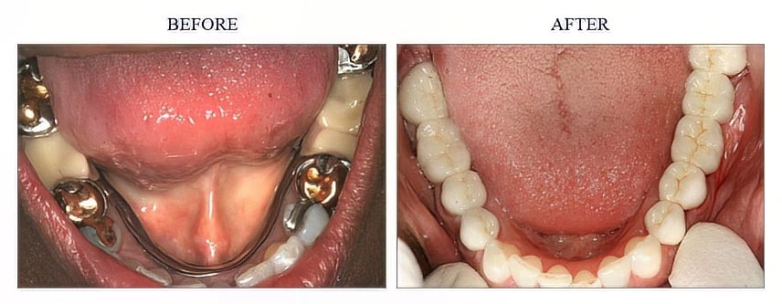
Porcelain Crowns and Porcelain Veneers
Treatment by Dr Langberg Southfield
Read More
Bleaching and 4 Porcelain Crowns
Treatment by Dr Langberg Southfield
Read More
7 Porcelain Veneers and a 3 Tooth Porcelain Bridge
Treatment by Dr Langberg Southfield
Read More